DOI:https://doi.org/10.47990/alop.v11i2.304

Casos Clínicos

Dientes primarios verdes por hiperbilirrubinemia

Ivana Aguiar Raposo1, Ronilza Matos2, Marta Verônica Souto de Araujo3, Tamara Kerber Tedesko4, José Carlos Pettorossi Imparato5

1São Leopoldo Mandic Campinas, Sao Paulo, Brasil.
2Universidade Paulista.
3Universidade Federal de Pernambuco.
4Universidade Federal de Santa Maria.
5Universidade São Paulo - USP.

Resumen

Definida como una concentración sérica de bilirrubina, la hiperbilirrubinemia es una condición rara y puede ser causada por cualquier factor que eleve la carga de bilirrubina a ser metabolizada por el hígado. Así, la bilirrubina se distribuye por los tejidos corporales y se acumula en los tejidos duros, incluso, en los dientes primarios. El objetivo de este trabajo es relatar un caso clínico sobre la repercusión severa de la hiperbilirrubinemia en dientes primarios y sus manifestaciones bucales en la primera infancia, como dientes verdosos. Paciente del sexo masculino, 3 años y 8 meses, estuvo en clínica odontológica para evaluación de “manchas verdes en los dientes”. En su historia médica se observó que nació prematuro y tuvo complicaciones posparto que evolucionaron para sepsis y, como consecuencia del uso de varios medicamentos, desarrolló un cuadro de hiperbilirrubinemia. El examen clínico dental constató la presencia de manchas verdes en los 20 dientes primarios, ausencia de lesión de caries, encías sanas y buena condición de higiene bucal. Se concluye que los altos niveles de bilirrubina desarrollados por el niño prematuro asociados a septicemia pueden llevar a la pigmentación verde (coloración intrínseca) en los dientes primarios durante el periodo de calcificación de los mismos (odontogénesis), incluso a la afectación de los dientes permanentes. Por eso, es relevante el conocimiento de la historia médica del niño desde el nacimiento para el establecimiento del diagnóstico y pronóstico de las alteraciones dentales.

Palabras clave: Hiperbilirrubinemia, diente, bilirrubina, sepsis, niño, Odontopediatría.

Caso clinico

Dentes decíduos verdes por hiperbilirubinemia

Resumo

Definida como uma concentração sérica de bilirrubina, a hiperbilirrubinemia é uma condição rara e pode ser causada por qualquer fator que eleve a carga de bilirrubina a ser metabolizada pelo fígado. Assim, a bilirrubina distribui-se pelos tecidos corporais e acumula-se nos tecidos duros, inclusive nos dentes decíduos. O objetivo deste trabalho é relatar um caso clínico sobre a severa repercussão da hiperbilirrubinemia em dentes decíduos, e suas manifestações bucais na primeira infância, como dentes esverdeados. Paciente do sexo masculino, 3 anos e 8 meses, procurou clínica odontológica para avaliação de “manchas verdes nos dentes”. Na história médica observou- se que a criança nasceu prematura, teve complicações pós-parto que evoluíram para sepses e, devido ao uso de vários medicamentos, desenvolveu quadro de hiperbilirrubinemia. O exame clínico dentário mostrou a presença de manchas verdes em todos os 20 dentes decíduos, ausência de lesão de cárie, gengivas saudáveis e boa condição de higiene bucal. Concluímos que os altos níveis de bilirrubina desenvolvidos pela criança pré- matura, associados à septicemia, podem levar à pigmentação verde (coloração intrínseca) nos dentes decíduos ainda no período de calcificação dos mesmos (odontogênese) e ainda ao acometimento dos dentes permanentes. Por isso, é relevante o conhecimento da história médica da criança desde o nascimento para o estabelecimento do diagnóstico e prognóstico das alterações dentais.

Palabra-chave: Hiperbilirrubinemia, dente, bilirrubina, sepse, criança, Odontopediatria.

Case report

Green deciduous teeth due to hyperbilirubinemia

Abstract

Defined as a serum bilirubin concentration, hyperbilirubinemia is a rare condition and can be caused by any factor that raises the bilirubin load to be metabolized by the liver. Thus, bilirubin is distributed throughout the body’s tissues and accumulates in hard tissues, including primary teeth. The aim of this work is to report a clinical case about the severe repercussion of hyperbilirubinemia in primary teeth, and its early childhood manifestations, such as greenish teeth. A male patient, 3 years and 8 months old, attended the dental clinic for evaluation of “green spots on teeth”. Medical history revealed that the child had premature birth and postpartum complications that evolved into sepsis, and due to the use of several drugs, developed hyperbilirubinemia. The dental clinical examination showed the presence of green spots on all 20 deciduous teeth, absence of carious lesions, healthy gums and good oral hygiene conditions. We conclude that the high levels of bilirubin developed by the premature child, associated with septicemia can lead to green pigmentation (intrinsic staining) in primary teeth and affect the permanent teeth. Therefore, knowledge of the medical history of the child from birth is relevant to the establishment of diagnoses and prognoses of dental changes.

Key words: Hyperbilirubinemia, tooth, bilirubin, sepsis, child.

Introducción

La hiperbilirrubinemia es una condición rara y puede ser provocada por cualquier factor que aumente el nivel de bilirrubina a ser metabolizada por el hígado, que perjudique, reduzca o bloquee la actividad de la enzima transferasa o de los factores responsables de la disminución de la captación de la bilirrubina por el hepatocito.

Así, la bilirrubina se distribuye por los tejidos corporales y se acumula en los tejidos duros, incluso en los dientes primarios de forma irreversible, ocasionando el aprisionamiento de la bilirrubina y causando la coloración intrínseca.1 Enlagranmayoríadeloscasos los pacientes presentan episodios severos de hiperbilirrubinemia neonatal causados por sepsis, atresia biliar, incompatibilidad sanguínea o policitemia, prematuridad extrema y bajo peso.2-5

Dado que se trata de una enfermedad que lleva a manifestaciones bucales, como dientes verdosos, hipoplasia de esmalte, retardo de la erupción dental, aumento de la cámara pulpar y de los conductos radiculares,6 exige, por ello, una conducta terapéutica individualizada y el reconocimiento de su etiología.2 En relación a la pigmentación dental, esta ocurre durante la formación de la matriz de esmalte y dentina en pacientes con niveles altos de bilirrubina –entre 200 y 500 mmol/l–,7,10 sin embargo, no todos los pacientes con historial de hiperbilirrubinemia presentan dientes verdosos. Eso puede estar relacionado a la densidad de la matriz dental o a trastornos individuales en la absorción de calcio, fosfato y enzimas, como también al tiempo de alteración de esos niveles de bilirrubina durante el período de formación de los gérmenes dentarios.8,9

La pigmentación de los dientes verdes ocurre como consecuencia de la relación de la bilirrubina con el oxígeno que paraliza su toxicidad y, con ello, hay formación y deposición de biliverdina. Para conceder el aumento de la capacidad mineral en su maduración, los ameloblastos promueven la degradación de casi toda la matriz orgánica, incluso, del pigmento verdoso en el esmalte. Ya en la dentina, esos pigmentos verdosos se almacenan poco a poco a lo largo de la formación del germen dentario.11 La incidencia en dientes permanentes es menor aún, y la causa más apuntada es la atresia biliar.18 Por eso la relevancia de la historia médica para determinar el diagnóstico correcto de dichas alteraciones dentales.

Así, el objetivo de este estudio fue relatar el caso clínico referente a la repercusión severa de la hiperbilirrubinemia neonatal relacionada a septicemia sobre la coloración de los dientes primarios y afectación del primer molar permanente, durante 4 años de seguimiento.

Reporte de caso clínico

Paciente de 3 años de edad, sexo masculino, estuvo con su madre en un consultorio particular en la ciudad de Santa Inés, Maranhão, Brasil, para la evaluación de una alteración del color de los dientes. Su madre manifestó gran preocupación y buscaba alguna opción de tratamiento, ya que, la coloración verdosa era severa y todos los dientes se veían afectados. En la anamnesis fue relatado que el niño nació prematuro por cesárea, pretérmino de 35 semanas y 4 días. La madre presentó enfermedad hipertensiva específica del embarazo grave y desprendimiento discreto de la placenta.

En el examen neonatal detallado a través de informaciones obtenidas de la maternidad, el paciente no presentó anomalías, a pesar de ser prematuro y pequeño para la edad gestacional (SGA, sigla en inglés). El grupo sanguíneo del niño era B+, y el de su madre, AB+. Los índices de APGAR (Appearance, Pulse, Grimace, Activity, Respiration) en el 1.er min.: 3, y en el 5.o min.: 9. Permaneció en incubadora, presentó dificultad respiratoria leve, fue reanimado con bolsa AMBU y en la sala de parto fue medicado con vitamina K y profilaxis de Credé. A partir del tercer día del nacimiento, evolucionó para un cuadro de hipoactividad, ictericia y septicemia bacteriana tardía con agravamiento clínico y de laboratorio. Fue administrada antibioticoterapia con Oxacilina, Tazocin®, Meropenem y Vancomicina, por medio de acceso venoso periférico en la región cefálica. El conteo de plaquetas bajó de 200.000 a 5.000 y los leucocitos de 20.700 a 5.300 transcurridos 9 días del nacimiento. Además recibió cinco transfusiones de sangre en ese periodo.

Transcurridos 3 días de su nacimiento se observó una tasa de bilirrubina total de 13,94 mg/dL, confirmando el cuadro de hiperbilirrubinemia neonatal, siendo 0,60 mg/dL de bilirrubina directa y 13,34 mg/dL de bilirrubina indirecta. Presentó abdomen globoso, depresible y doloroso en la palpación. Se solicitaron algunos exámenes para investigación de colestasis, incluso, gammagrafía del hígado y de las vías biliares, y los mismos se encontraban dentro de la normalidad. Transcurridos 14 días de su nacimiento se verificó la hiperbilirrubinemia más severa de 30,80 mg/dL de total, siendo 14,46 mg/dL de bilirrubina directa y 16,34 de bilirrubina indirecta (Cuadro 1). Se confirmó la alteración de la función hepática cuando su tasa evolucionó de 61U\L de TGO y 75U\L de TGP para 320U\L de TGO y 217U\L de TGP, como muestra el cuadro 2. Se alteró el nivel de hemoglobina de 18,4 g\dl para 5,3 g\dl y los hematocritos de un 52% para un 13,8%, confirmando cuadro de anemia grave. También se realizaron exámenes para investigación de infección congénita como: rubeola, toxoplasmosis y citomegalovirus y todas las tasas estaban dentro de la normalidad.

Cuadro 1: Resultado de los exámenes de laboratorio de TGO y TGP en los diferentes tiempos evaluados.

Edad Transaminasa oxalacética (TGO) Transaminasa pirúvica (TGP)
11 días 24 U/L 22 U/L
21 días 61 U/L 75 U/L
27 días 320 U/L 217 U/L
44 días 145 U/L 167 U/L
52 días 89 U/L 71 U/L

Cuadro 2: Resultado de los exámenes de laboratorio de bilirrubina total, directa e indirecta en los diferentes tiempos evaluados.

Edad Bilirrubina total Bilirrubina directa Bilirrubina indirecta
3 días 13,94 mg/dL 0,50 mg/dL 13,94 mg/dL
9 días 17,49 mg/dL 5,70 mg/dL 10,79 mg/dL
14 días 33,89 mg/dL 14,46 mg/dL 16,34 mg/dL
15 días 23,29 mg/dL 08,50 mg/dL 19,70 mg/dL
27 días 12,78 mg/dL 06,50 mg/dL 06,20 mg/dL
44 días 08,37 mg/dL 04,31 mg/dL 04,06 mg/dL

Transcurridos 45 días de su nacimiento, su función hepática fue estabilizándose y se normalizaron los valores de bilirrubina, que llegó a 8,37 mg\dL de bilirrubina total, siendo 4,31 mg\dL de bilirrubina directa y 4,06 mg\dL de bilirrubina indirecta (Cuadro 2). El alta hospitalario se dio el 62o día de vida, y según relata la madre, fue alertada por la pediatra que su hijo podría presentar anomalías dentales o dientes con coloración verdosa.

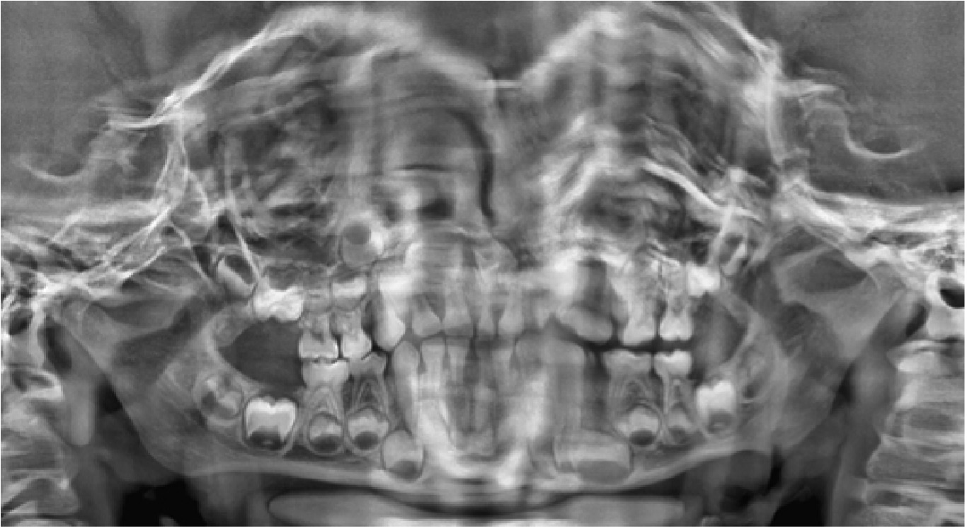
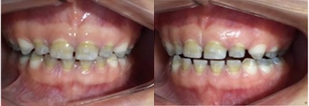
En 2015, cuando el paciente tenía 3 años y 8 meses, la madre fue en busca de explicaciones para dichas alteraciones. En la anamnesis fue relatado que los primeros dientes primarios erupcionaron alrededor de los 12 meses de edad y que la madre notó alteración del color desde el inicio, pero como la pediatra la había alertado sobre la alteración de color, no buscó rápida atención. Durante el examen clínico se observó coloración verde en todos los dientes prmarios presentes; la pigmentación se localizaba en los incisivos centrales y laterales superiores e inferiores en toda extensión de la corona hasta el tercio cervical. En los caninos inferiores la coloración verde se extendió desde el borde incisal al tercio medio de la corona. Los primeros y segundos molares inferiores y superiores estaban afectados en casi toda la extensión de la corona por un tono verde oscuro, y apenas el tercio cervical no presentaba coloración (Figuras 1 y 2). Los dientes primarios presentaron una morfología normal (esmaltes con superficies lisas y regulares), buenas condiciones de higiene bucal (bajo índice de placa dental) y ausencia de manchas blancas, lesiones de caries y de hipoplasias y movilidades. Los tejidos blandos estaban íntegros y presentaban coloración normal. En las radiografías no se observó ninguna alteración (Figura 3).

Figura 1: Imagen vestibular de los dientes. Se observa pigmentación verde en la dentición. (A) Frontal y (B) Lateral izquierda. Paciente con edad de 3 años y 8 meses.

Figura 2: Imagen oclusal de los dientes. (A) Oclusal inferior y (B) Oclusal superior. Se observa pigmentación verde. Paciente con edad de 3 años y 8 meses.

Figura 3: Radiografía panorámica. Paciente con edad de 3 años y 8 meses.

Luego de un año y dos meses, el paciente volvió al consultorio para control. Los dientes presentaban una coloración mucho más clara, principalmente, los incisivos superiores e inferiores. Pudimos observar también en la superficie oclusal de los molares inferiores un área de completa despigmentación (Figuras 4 y 5).

Figura 4: Control- 1 año. Imagen vestibular de los dientes. Se observa pigmentación verde más clara en los incisivos superiores e inferiores.
(A) Frontal y (B) Lateral izquierda

Figura 5: Control 1 año. Imagen oclusal de los dientes. (A) Oclusal inferior y (B) Oclusal superior. Se observa pigmentación verde. Pigmentación más clara en los molares y caninos superiores e inferiores

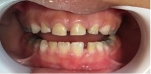
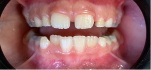
Transcurridos dos años del último control, aún con la dentición primaria completa, los dientes estaban más claros y había algunas áreas de completa despigmentación en la superficie oclusal de los molares. En el examen clínico intraoral, se detectaron las primeras lesiones de caries, en la distal del 74 y oclusal del 75; en el diario de alimentación se observó mayor frecuencia de alimentos cariogénicos. Se observó durante la remoción de la lesión de caries que el pigmento estaba más impregnado en la superficie del esmalte. A los 6 años, emergió el primer diente permanente, siendo el incisivo central inferior del lado izquierdo, diente 31, con su coloración normal, seguido del diente 41 (Figuras 6 a 9). El primer molar permanente inferior izquierdo (36) también emergió totalmente libre de pigmentos, sin embargo, la cúspide mesiovestibular del primer molar permanente derecho (46) presentó ligera coloración verdosa (Figura 10B y 11). En el último control a los 4 años se observó la presencia de incisivos permanentes superiores e inferiores emergidos sin pigmentación verdosa (Figura 12).

Figura 6: Control de 2 años. Imagen vestibular de los dientes. Se observa pigmentación verde más clara en los incisivos superiores e inferiores

Figura 7: Control de 2 años. Imagen oclusal de los dientes. (A) Oclusal inferior y (B) Oclusal superior. Se observa pigmentación verde más clara en los caninos y molares inferiores

Figura 8: Control de 2 años. Hemiarcada izquierda. Dientes 74 y 75 con pigmentación verde en la dentición y lesión de caries. Lesión de caries del 74,75

Figura 9: Paciente con edad de 6 años. Se observa dentición mixta con presencia de los dientes 31 y 32 sin pigmentación verdosa

Figura 10: Paciente con edad de 6 años. Se observa erupción de los dientes 36 y 46 sin pigmentación verdosa pero con hipoplasia

Figura 11: Primer molar permanente (46) – erupcionado con ligero pigmento en la vertiente mesial interna de la cúspide mesiovestibular

Figura 12: Paciente de 4 años. Imagen vestibular de la dentición mixta

El tratamiento odontológico desde la primera atención hasta las consultas de control fue la evaluación del índice de placa, profilaxis, orientación de dieta (diario de alimentación), de higiene bucal (dentífrico fluorado 1100 ppm/Flúor ) y restauración de las lesiones de caries (ionómero de vidrio modificado con resina). La madre fue orientada al respecto de la coloración de los dientes e informada de que el tratamiento restaurador para restablecimiento de la estética no sería indicado, ya que la pigmentación era severa y en tonos de verde oscuro, y que, por dificultar su enmascaramiento, solamente se realizaría el seguimiento clínico de la condición presentada.

Discusión

El diagnóstico de los aspectos clínicos presentados en el paciente de este estudio analizó que la septicemia neonatal generó el cuadro severo de hiperbilirrubinemia y, como consecuencia, una pigmentación verdosa severa de todos los dientes primarios en las fases intensas de mineralización, conforme a la odontogénesis de ese momento. En el caso estudiado, el paciente presentó varios factores de riesgo para el desarrollo de una hiperbilirrubinemia severa, tales como: prematuridad, alteración respiratoria y un cuadro de septicemia, llegando a 30,80 mg\dl de bilirrubina total, lo que resultó en la coloración verdosa de los dientes primarios. Por otra parte, Watanabe et al.1 sugieren que la gravedad y duración de la hiperbilirrubinemia no estaban directamente relacionadas con las alteraciones dentales. Ya en los tejidos blandos, dado que no pierden su actividad metabólica luego de la maduración, hay eliminación de la pigmentación.

La dentición primaria, por encontrarse en un período crítico de desarrollo cuando ocurre la hiperbilirrubinemia (relación entre inicio y duración) es la más afectada.15 La fase de la mineralización de tejidos duros tiene inicio alrededor del cuarto mes de vida intrauterina, comenzando con los incisivos y terminando con los molares luego de trascurridos 11 meses del nacimiento.16,17 Algunos estudios corroboran que la pigmentación verde, así como la localización y extensión en la dentición primaria coincide con la odontogénesis y confirma que la hiperbilirrubinemia, así como en el caso relatado, ocurre durante la etapa posnatal.2,18,19 Con 35 semanas de vida intrauterina, posiblemente todos los dientes primarios ya se encontraban formados en el interior de los maxilares, con incisivos y molares en su casi total extensión, caninos en el tercio medio y la punta de las cúspides de los primeros molares permanentes. La hiperbilirrubinemia más severa se observó transcurridos 14 días de su nacimiento y las pigmentaciones afectaron las áreas, conforme la odontogénesis de esa etapa Con la normalización de las tasas, las demás áreas de formación de los dientes no se vieron afectadas por la pigmentación, lo que revela que los niveles de bilirrubina se normalizaron antes del sexto mes de vida. Canela et al.10 observaron variabilidad del lugar del diente afectado por la pigmentación verde. Coincidiendo con el relato, las coronas de molares primarios presentaban pigmentación verde oscura en casi dos tercios de la corona, mientras que en los caninos primarios se observó pigmentación verde solo en el tercio incisal.

La hiperpigmentación dental provocada por la bilirrubina disminuye con el pasar del tiempo por la pérdida de la translucidez del esmalte e interfiere en la visualización de la coloración verde.18,12 En el primer control, la coloración verdosa de los dientes afectados, principalmente los incisivos y caninos superiores e inferiores se veía mucho más clara. Y, luego del control del segundo año, la coloración se veía más dispersa, comprobando estudios previos.

También se observó otro elemento interesante en las lesiones de caries: el pigmento verdoso estaba impregnado más superficialmente en la región del esmalte, lo que se puede atribuir a la pérdida de transparencia del esmalte con el pasar de los años. Algunos trabajos mostraron también que pacientes con pigmentación verde como consecuencia de la hiperbilirrubinemia presentaron caries en cerca del 61% de los casos20 y del 45% de los casos.21 Y también, en reciente trabajo, se observó que la hiperbilirrubinemia no alteró el diámetro de los túbulos dentinarios en los dientes primarios verdes y, consecuentemente, no hubo interferencia en la adhesión y en la permeabilidad del sistema adhesivo.9

A los 6 años erupcionó el primer diente permanente (incisivo central inferior), totalmente libre de pigmentos de bilirrubina, lo que comprueba la normalización de la tasa de bilirrubina luego del periodo neonatal. De acuerdo con la odontogénesis, además de todos los dientes primarios, se esperaba que las puntas de cúspides de los primeros molares permanentes también presentaran pigmento de bilirrubina.16 Sin embargo, se observó solo una ligera coloración verdosa en la vertiente mesial interna de la cúspide mesiovestibular del diente 46, mientras que el diente 36 erupcionó totalmente libre de pigmentos.

No se observaron defectos morfológicos en dicho caso, lo que sugiere que la descoloración se debió a disturbios sistémicos ocurridos en el periodo neonatal. El seguimiento del paciente se realizó con visitas periódicas anuales. Como las manchas son de etiología intrínseca, siendo su remoción muy invasiva, y no había relatos importantes de impacto negativo en la calidad de vida del paciente, optamos por no realizar tratamiento estético, solamente un control preventivo para evitar lesiones de caries. Rosenthal et al.14 recomiendan rehabilitación con resina compuesta, justificando que, como la erupción del primer diente del bebé es algo importante para la familia, podría causar ansiedad en los padres y dificultad de interacción social del niño. Además, también fue sugerido el uso de radiación ultravioleta, pues sesiones de transiluminación dentaria pueden ayudar en la disipación de los productos de la bilirrubina, aun en las áreas mineralizadas.

El conocimiento de estas alteraciones permite al pediatra2 informar a la madre sobre la posibilidad de que ocurran y orientarla para que busque atención dental tan pronto como erupcione el primer diente de su hijo, para que pueda recibir instrucciones de prevención de caries. Por eso, es relevante la intervención multidisciplinaria en el diagnóstico precoz y en la decisión terapéutica, principalmente, en esos casos raros de pigmentación dentaria.22

Conclusión

Los altos niveles de bilirrubina presentados por el niño al nacer son la causa de la pigmentación verde en los dientes primarios, hiperbilirrubinemia neonatal relacionada a la sepsis. Se observó blanqueamiento espontáneo de los dientes a lo largo de los años. Por eso, es importante el conocimiento de la historia médica del niño y de su nacimiento para la realización del diagnóstico y pronóstico de las alteraciones dentales.

Referencias bibliográficas

  1. Watanabe K, Shibata T, Kurosawa T, Morisaki I, Kinehara M, Igarashi S, et al. Bilirubin pigmentation of human teeth caused by hyperbilirubinemia. J Oral Pathol Med. 1999; 28:128-30. 
  2. Almeida E. Pigmentação verde da dentição primária associada à hiperbilirrubinemia no período neonatal. Revista Científica FMC. 2011; 6: 8-10.
  3. Najib KS, Saki F, Hemmati F, Inaloo S. Incidence, risk factors and causes of severe neonatal hyperbilirubinemia in the South of iran (fars province). Iran Red Crescent Med J. 2013 Mar;15(3):260-3.
  4. Battineni S, Clarkep. Green teeth are a late complication of prolonged conjugated hyperbilirubinemia in extremely low birth weight infants. Red Dent. 2012; 34 (4): 103:6
  5. Kyung PM, Sun Y, Kang CM, Lee H, Seon CJ. Green Teeth Associated Hyperbilirubinemia in Primary Dentition. J Korean Acad Pediatr Dent 2017; 44(3): 378-383.
  6. Silva JEO. Dentes esverdeados em paciente com colestase neonatal: relato de caso clínico [monografia]. Manaus: Instituto de Ciências da Saúde Funorte/Soebras; 2012. 
  7. Zaia AA, Graner E, De Almeida OP. Oral changes associated with biliary atresia and liver transplantation. J ClinPediatr Dent 1993; 18: 39-42.
  8. O’Connor MJ. Mechanical biliary obstruction. A review of the multisystemic consequences of obstructive jaundice and their impact on perioperative morbidity and mortality. Am Surg 1985; 51: 245-51.
  9. Silva RN , Alves FA, Antunes A, Vai MF,  Giannini M, Tenório MD,  Machado JL, Paes-Leme AF,  Lopes MA,  e Silva ARS. Decreased dentin tubules density and reduced thickness of peritubular dentin in hyperbilirubinemia-related green teeth. J Clin Exp Dent. 2017 May; 9(5): e622–e628.
  10. Do Valle IB, E VM, Goese TB, Oliveira ZFL, SandraVentorin von Zeidler. Green Teeth in the Primary and Permanent Dentition. J Pediatr 2017;191:275.
  11. Canela AHC, Rezende KMPC, Carrilho SR, Arana-Chavez V.E, Bönecker M. Hyperbilirubinemia and intrinsic pigmentation in primary teeth. A case report and histological findings.. Pediatric and Developmental Pathology (Print), v. 14, p. in press, 2011.
  12. Sommer S, Magagnin K, Kramer PF, Tovo MF, Bervian J. Green teeth associated with neonatal hyperbilirubinemia caused by biliary atresia: review and case report. J Clinic Pediatr Dent. 2010; 35: 199202.
  13. Rangé H, Camy S, Cohen J, Colon P, Bouchard P. Dental treatment of an adult patient with a history of biliary atresia. Quintessence Int. 2012;43(4):337-41.
  14. Sandoval MJ,  Zekeridou  A,  Spyropoulou V, Courvoisier D, Mombelli A, McLin V, Giannopoulou C. Oral health of pediatric liver transplant recipients. Pediatric Transplantation. 2017;21:e13019.
  15. Rosenthal P, Ramos A, Mungo R. Management of children with hyperbilirubinemia and green teeth. J Pediatr 1986; 108: 103-5. 
  16. Fernandes KS, Magalhães M, Ortega KL. Green teeth. J Pediatr. 2011; 158: 510.
  17. Silva Filho OG, Garib DG, Lara TS. Ortodontia interceptiva. Protocolo de tratamento em duas fases. Ed Artes Medicas.2013
  18. Alto L, Pomarico L, Souza IPR. Green pigmentation of deciduous teeth: report of two cases. J Dent Child (Chic). 2004; 71: 179-82.
  19. Barbério GS, Zingra ACG, Santos PSS, Machado MAAM. Green Teeth Related to Bilirubin Levels. Acta stomatol Croat. 2018;52(1):61-64.
  20. Lin YT, Lin YT, Chen CL. A Survey of the oral status of children undergoing liver transplantation. Chang Gung Med J. 2003; 26: 184-8.
  21. Vivas APM. Avaliação de manifestações bucais em pacientes pediatricos submetidos ao transplante hepatico (dissertação). São Paulo: USP/FO;2012.
  22. Patil SB, Hugar S, Patil S. Green teeth associated with hyperbilirubinemia: A case report. European Archives of Paediatric Dentistry. 2014; 15(2 suppl):221-223