DOI:https://doi.org/10.47990/alop.v12i1.269

Casos Clínicos

Causas de impactación de premolares inferiores en pacientes pediátricos. Serie de casos

Miguel Hirschhaut1, María Gabriela Acosta de Camargo2, José Antonio Rodríguez3, Hector Rodríguez4

Resumen: Los dientes impactados son frecuentemente observados en la práctica clínica. Sin embargo, la presencia de premolares impactados es una anomalía dentaria poco reportada. Se sabe de una relación genética entre la presencia de varias anomalías dentarias en un mismo paciente, así como en una misma familia. Las impactaciones de premolares inferiores pueden estar asociada a impactaciones palatinas de caninos e incisivos laterales superiores con alteración en forma y/o número. Esta investigación tuvo como objetivo describir las causas asociadas a impactación de premolares a través de una serie de 6 casos, en edades comprendidas entre 11 y 15 años de edad. Los resultados encontrados sugieren que las causas asociadas a la impactación de premolares inferiores fueron: retención prolongada de dientes primarios, patrón eruptivo alterado, presencia de supernumerarios, pérdida prematura de dientes primarios y erupción retardada asociada a factor hormonal. Se concluye que la presencia de impactación de premolares apunta a la asociación de varias causas que confluyen observándose no solo una sino varias anomalías dentarias.

Palabras clave: Premolares, dientes impactados, inferiores, anomalías dentarias.

Causas de impactação de pré-molares inferiores em pacientes pediátricos. Série de casos

Resumo: Dentes impactados são freqüentemente observados na prática clínica. No entanto, a presença de pré-molares impactados é uma anomalia dentária raramente relatada. Sabe-se de uma relação genética entre a presença de várias anomalias dentárias no mesmo paciente e também na mesma família. As impactações dos pré-molares inferiores podem estar associadas às impactações palatinas dos caninos e incisivos laterais superiores com alteração na forma e / ou número. Esta pesquisa teve como objetivo descrever as causas associadas à impactação de pré-molares por meio de uma série de 6 casos, com idades entre 11 e 15 anos. Os resultados encontrados sugerem que as causas associadas à impactação dos pré-molares inferiores foram: retenção prolongada dos dentes decíduos, padrão eruptivo alterado, presença de supranumerários, perda prematura dos dentes decíduos e erupção tardia associada a fatores hormonais. Concluise que a presença de impactação de pré-molares aponta para a associação de várias causas que convergem, observando-se não apenas uma, mas várias anomalias dentárias.

Palabra-chave: Pré-molares, dentes impactados, inferiores, anomalias dentárias.

Causes of lower premolar impaction in pediatric patients. Case series

Abstract: Impacted teeth are frequently observed in clinical practice. However, the presence of impacted premolars is a rarely reported dental anomaly. It is known of a genetic relationship between the presence of several dental anomalies in the same patient as well as in the same family. Among the anomalies associated with lower premolar impactions are palatal impacted cuspids and upper lateral incisors with alteration in shape or number. This investigation aimed to describe the causes associated with lower premolar impaction through a series of 6 cases, between 11 and 15 years of age. The results found suggest the causes associated with the impaction of lower premolars were prolonged retention of primary teeth, altered eruptive pattern, presence of supernumeraries, premature loss of primary teeth and delayed eruption associated with hormonal factors. It is concluded that the presence of premolar impaction points to an association of several causes that converge, observing not only one but several dental anomalies.

Key words: Premolars, impacted teeth, lower, dental anomalies.

Introducción

La erupción dentaria es un proceso fisiológico multifactorial que involucra 3 etapas. Una fase pre-eruptiva que comienza con el crecimiento del folículo dentario e inicia el movimiento del diente en una dirección oclusal desde su posición de desarrollo en el hueso alveolar hasta que emerge a la cavidad bucal. A esto le sigue una segunda etapa eruptiva pre-funcional que se extiende desde la emergencia hasta que el diente en erupción logra la oclusión con los dientes antagonistas. En este punto, el diente alcanza la tercera etapa eruptiva funcional que continúa a lo largo de la vida del diente.1,2

Los dientes impactados se definen como aquellos que no pudieron ocupar su lugar en el arco dentario durante el período normal de erupción debido a diversas razones, lo que provoca resultados clínicamente importantes.3,4 Numerosos factores sistémicos están relacionados a su etiología, así como están las causas locales, incluida la presión aplicada por los dientes adyacentes, aumento de la densidad en el hueso y el tejido blando, infecciones crónicas en los tejidos blandos circundantes, crecimiento mandibular insuficiente y falta de espacio en el maxilar. Entre las causas sistémicas asoaciadas se encuentran: trastornos endocrinológicos (hipotiroidismo) y metabólicos (mucopolisacaridosis), anemia, causas sistémicas como deficiencia de vitamina D (raquitismo), síndrome de Down, síndromes como displasia cleidocraneal y acondroplasia. Además de infecciones sistémicas (tuberculosis, sífilis congénita), trastornos del desarrollo tales como labio y paladar hendido hacen que los dientes permanezcan impactados. Factores genéticos y síndromes han sido descritos en casos de impactaciones dentarias. Asimismo factores sistémicos como: deficiencias de vitamina A, alteraciones en funciones hormonales sobre todo las tiroideas, infecciones en edades formativas de dientes y tratamientos oncológicos han sido implicados como causas generales de impactación dentaria.4 También están: posicionamiento ectópico de los brotes dentarios de premolares en desarrollo, patologías como quistes inflamatorios o dentígeros. Igualmente, pueden asociarse con molares primarios anquilosados infraoclusales o sobrerretenidos.5,6

Los premolares inferiores ocupan el tercer lugar de frecuencia en dientes impactados, después de los terceros molares permanentes y los caninos permanentes superiores.4 Se ha encontrado que la prevalencia de premolares impactados varía según la edad.7 Se ha reportado que la prevalencia general en adultos es del 0,5%, encontrándose un rango del 0,1% al 0,3% para los premolares superiores y del 0,2% al 0,3% para los premolares mandibulares.5,8

Wasserstein et al. indicaron que en las etapas tempranas del desarrollo, el 56,5 % de los segundos premolares inferiores tenían inclinación distal y el 25 % inclinación mesial, sin embargo, un gran porcentaje se autocorrigen a medida que erupcionan.9

Muchos estudios se han centrado en los caninos superiores y los terceros molares impactados, sin embargo, la investigación sobre los premolares impactados es limitada. En la práctica clínica, un porcentaje de los pacientes de ortodoncia requieren la extracción de premolares. Por lo tanto, los premolares impactados desempeñan un papel importante en el diseño y pronóstico de la terapia ortodóncica.10 En pacientes con dientes impactados, la deficiencia de la longitud del arco se observa alrededor de 14% para pacientes con impactación maxilar y 10% para pacientes con impactación mandibular.11

La impactación, retención e inclusión dental son fenómenos frecuentes, con variaciones considerables según región y grupos poblacionales, que pueden generar diferencias que implican la necesidad de analizarlas para entender su comportamiento.12 Sin embargo, son muy escasos los casos publicados y con seguimiento de premolares impactados.

Ericson y Kurol13 estudiaron extensamente la impactación de dientes permanentes, describiendo un sistema para ubicar al canino
superior permanente respecto a sus dientes vecinos (incisivo lateral y central superior) en la radiografía panorámica. El cual se basa en su posicion mesiodistal a fines referenciales, que permiten establecer la dificultad en el manejo de estos casos. Siendo las ubicaciones mesiales (cercanas a la línea media), más complejas para su manejo que las distales y de peor pronóstico.

A continuación se presenta una serie de casos conformada por seis (6) reportes de casos con premolares impactados cuyo objetivo fue describir las diferentes causas que pueden estar asociadas a este problema de erupción.

Reporte de casos

Se presenta una investigación no experimental, descriptiva, transversal, tipo serie de casos. La muestra fue de tipo no aleatoria intencional o a conveniencia. Los casos clínicos que se presentan a continuación corresponden a pacientes que acudieron a consulta privada en la zona metropolitana de Caracas, Venezuela. A todos los pacientes se les aplicó un mismo protocolo de atención. No hubo conflicto de intereses ni se solicitaron fuentes de financiamiento. Se les pidió a los padres que firmaran un consentimiento informado y a los niños se les solicitó asentamiento para participar. Se elaboró una historia clínica detallada, con antecedentes familiares y personales, seguido de un riguroso examen clínico intraoral y radiográfico. El número de casos reportados fueron seis (6) en edades comprendidas entre once (11) y quince (15) años de edad. Los pacientes debían tener como característica única para criterio de inclusión la presencia de premolares impactados. A cada paciente se le realizó un minucioso interrogatorio para conocer si existían factores sistémicos asociados, así como para corroborar la presencia de esta anomalía en algún otro miembro de la familia.

Serie de casos

Caso 1. Paciente femenino de 13 años referida por el odontopediatra para consultar la posición de los caninos superiores. Los padres refieren perfecto estado de salud y que la paciente no tuvo tratamiento de ortodoncia u ortopedia previo, durante la anamnesis se reportó solamente alergia al maní. Entre sus antecedentes familiares, los padres fueron tratados ambos con ortodoncia y la madre refiere agenesia de terceros molares superiores. La hermana del paciente fue tratada por impactación unilateral de canino superior derecho con agenesia de incisivo lateral superior derecho. Los padres firmaron consentimiento informado. Al momento del diagnóstico, la paciente presentó una maloclusión Clase I, con impactación bilateral palatina de caninos superiores en el sector 3 del Índice de Ericson & Kurol,13 asociada a incisivos laterales superiores estrechos mesio- distalmente (microdónticos), infra-oclusión del segundo molar primario inferior izquierdo. Además un segundo premolar inferior izquierdo impactado, asociado a un patrón distal de erupción (Figura 1). El tratamiento consistió en: remoción del segundo molar primario inferior izquierdo, expansión palatina rápida, terapia ortodóncica con aparatología fija .022 de Straightwire, y la exposción quirúrgica para tracción de ambos caninos superiores impactados.

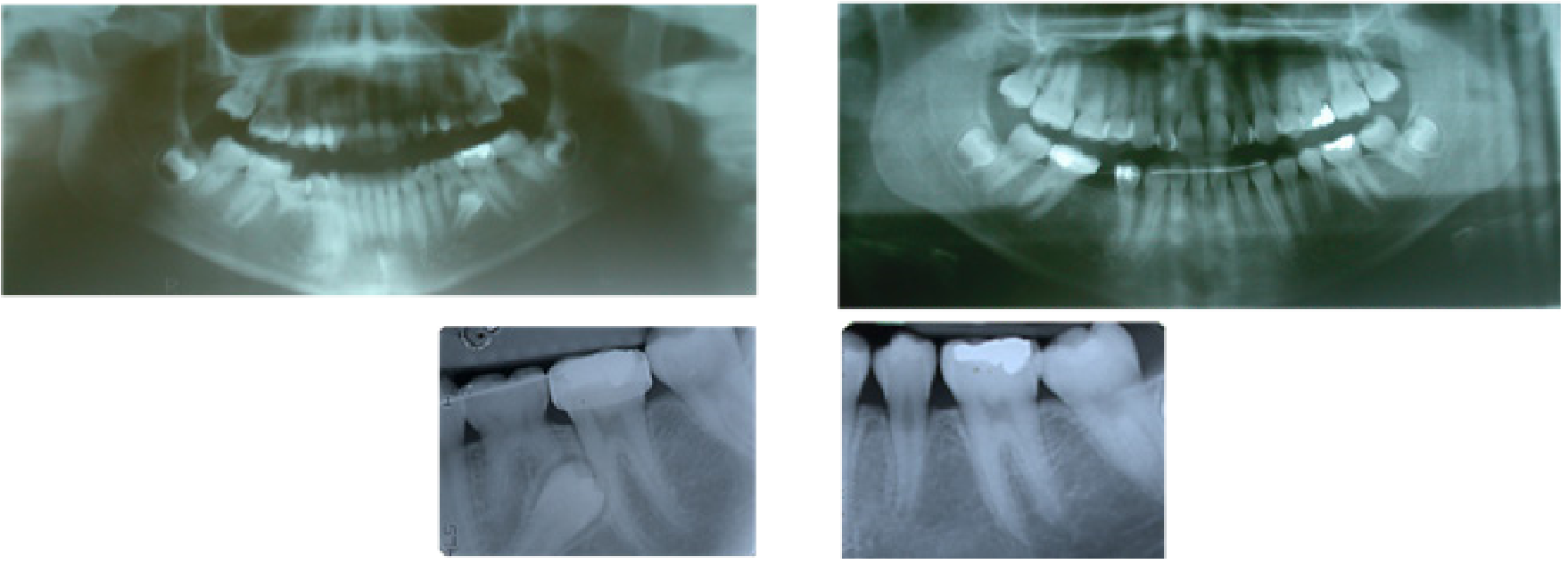
Caso 2. Paciente femenino de 14 años referida por familiar endodoncista quien nota la alteración de la erupción al evaluarla. La madre firmó el consentimiento informado. Tuvo tratamiento previo con rejilla lingual para hábito de succión. En la anamnesis la paciente reporta problemas gastrointestinales y acude regularmente a sus controles pediátricos. Padre y madre tuvieron ortodoncia por apiñamiento leve. La hermana también tuvo tratamiento de ortodoncia, con incisivo lateral superior derecho microdóntico, el cual fue reconstruido con resina post-ortodoncia para aumentar su ancho mesio-distal. Al momento de la consulta la paciente presentó como diagnóstico: maloclusión Clase I con mordida abierta anterior asociada a la presencia del hábito de succión del dedo pulgar, con incisivos laterales superiores estrechos mesio-distalmente, con agenesia del segundo premolar inferior derecho y retención prolongada del segundo molar inferior derecho primario, el cual se encuentra en infraoclusión, presentando un segundo premolar inferior izquierdo impactado con patrón eruptivo distal del segundo molar inferior derecho. En la radiografía panorámica y periapical puede apreciarse el antes y después de tratamiento (Figura 2). El tratamiento consistió en: remoción del segundo molar primario inferior izquierdo, terapia ortodóncica con aparatología fija .022 de Straightwire y la exposición quirúrgica para tracción del segundo premolar inferior izquierdo.

Figura 1. Panorámica inicial donde se observa segundo premolar inferior izquierdo impactado asociado a incisivos laterales superiores microdónticos e infra-oclusión del segundo molar primario inferior izquierdo.

Figura 2: Radiografía panorámica y periapical iniciales y finales, mostrando la resolución de la impactación del segundo premolar inferior izquierdo, con patrón eruptivo distal.

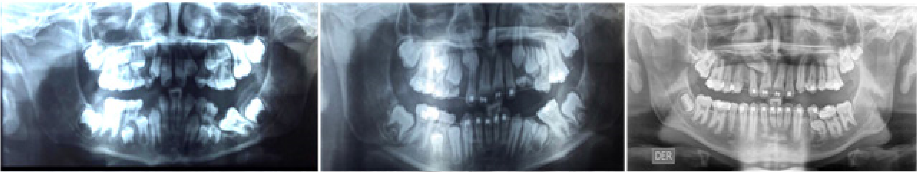
Caso 3. Paciente masculino de 15 años quien acude a consulta por falta de espacio en los maxilares. Los padres firmaron consentimiento informado. No refieren tratamiento de ortodoncia u ortopedia previo. Paciente con antecedentesdealergiaalosácaros,intervención quirúrgica de amígdalas y adenoides a los 7 años, con múltiples tratamientos por sinusitis. Alcanzó el desarrollo puberal a los 14 años y medio. Padre y madre tuvieron tratamiento de ortodoncia por apiñamientos y discrepancias estéticas. Al momento del examen diagnóstico presentó maloclusión Clase I con mordida profunda anterior, retención prolongada de los segundos molares inferiores primarios derecho e izquierdo debajo del plano oclusal inferior y debajo del plano oclusal inferior, con impactación de segundos premolares inferiores derecho e izquierdo. Además los incisivos laterales superiores se observan estrechos mesio-distalmente (Figura 3). El tratamiento consistió en: remoción del segundo molar primario inferior izquierdo y derecho retenido, terapia ortodóncica con aparatología fija .022 de Straightwire en ambos arcos dentarios.

Caso 4. Paciente femenina de 13 años con diagnóstico de diabetes tipo I, con antecedente personal de intervención quirúrgica a los 18 meses por estrabismo ocular. Recibió tratamiento con expansor maxilar a los 8 años por mordida cruzada posterior. Madre reportó haber tenido ortodoncia, pero no recordó la causa, padre negó haber tenido ortodoncia aunque presentó apiñamiento. Los padres firmaron consentimiento informado. Al momento del diagnóstico la paciente presentó maloclusión Clase I con apiñamiento e impactación del primer premolar inferior izquierdo, asociado a diente supernumerario en la zona. El tratamiento consistió en ortodoncia correctiva, remoción del diente supernumerario, y la exposición quirúrgica del primer premolar inferior izquierdo impactado, para permitir traccionarlo al arco dentario (Figura 4).

Caso 5. Paciente masculino de 11 años que acude a consulta por problemas de posición dentaria en sus dientes superiores. Niega tratamiento de ortodoncia u ortopedia previo. Como antecedentes personales tuvo parotiditis y presentaba como hábito parafuncional la onicofagia. En su historia familiar padre y madre recibieron tratamiento de ortodoncia correctiva por apiñamiento severo con la extracción de los cuatro primeros premolares.

Figura 3. Radiografía panorámica y periapicales iniciales, mostrando los segundos molares primarios retenidos en infraoclusión y la impactación de los segundos premolares inferiores.

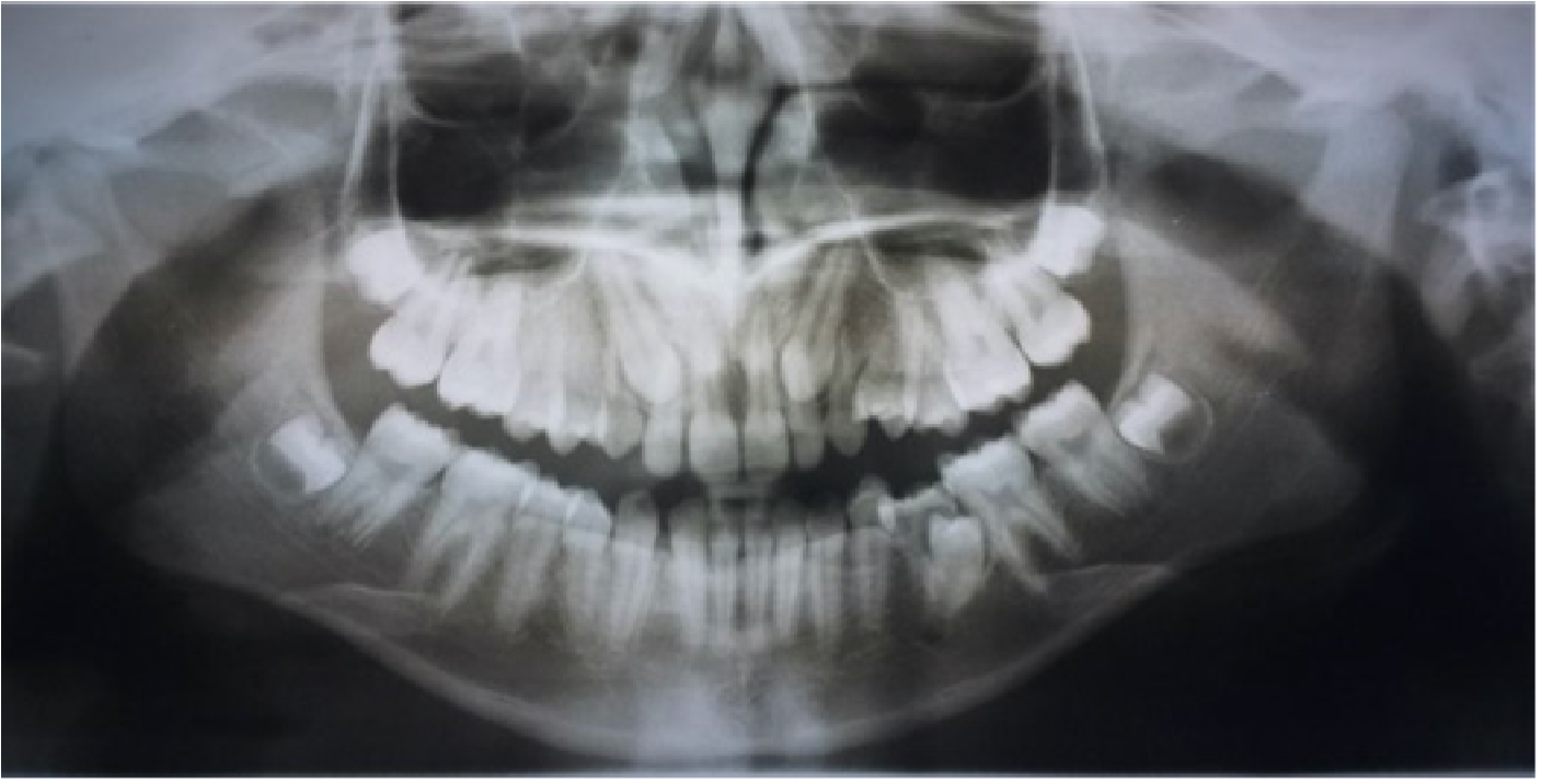
El hermano mayor presentó canino superior izquierdo impactado. Los padres firmaron consentimiento informado. Al momento de la consulta el paciente presentó como diagnóstico: clase II con protrusión dentaria antero-superior, con ambos primeros molares superior e inferior izquierdo con un retraso importante de su erupción de 4 años. Además en la radiografía panorámica se observó impactación de canino superior derecho y de los dos premolares inferiores izquierdos. También presentó pérdida prematura del segundo molar inferior derecho primario por caries, el cual fue extraido sin colocar apropiado mantenedor de espacio, trayendo como consecuencia migración mesial del primer molar inferior izquierdo, agravando falta de espacio para la normal erupción de los premolares inferiores izquierdos. (Figura 5). El tratamiento consistió en: exposición quirúrgica del primer molar permanente superior e inferior izquierdo, terapia ortodóncica con expansión palatina rápida y aparato extra-oral de tracción cervical, combinado con ortodoncia correctiva con aparatología fija .022 de Straightwire.

Caso 6. Paciente femenina de 14 años de edad que se presenta a consulta por problemas de retroposición en la mandíbula. Al interrogatorio los padres refieren presencia de alteración de la hormona tiroidea y tratamiento con Eutirox. No reportó tratamiento de ortodoncia u ortopedia previo. Refirió haber tenido alterado el recambio dentario en todos los dientes y extracción de incisivos primarios por odontopediatra, para facilitar la erupción de los incisivos permanentes. La A madre tuvo tratamiento para maloclusión Clase II con aparato extraoral de tracción baja, el hermano presentó Clase II y recibió tratamiento con Bionator. La madre firmó consentimiento informado. Al momento del diagnóstico inicial la paciente presentó maloclusión Clase II con deficiencia de espacio importante y apiñamiento en ambos arcos dentarios. El segundo premolar inferior derecho era muy ancho mesio-distalmente (anómalo), produciendo una discrepancia de Bolton posterior. Tuvo retención prolongada de molares primarios superiores e inferiores, con presencia además de molares primarios supernumerarios. Se realizó la extracción de los molares primarios, la extracción de los molares primarios supernumerarios y se expusieron quirúrgicamente los seis (6) premolares impactados superiores e inferiores, llevándolos al arco dentario mediante la utilización de aparatología fija de Straightwire .022 en ambos arcos dentarios. (Figura 6)

Figura 4: Radiografía oclusal inferior inicial y radiografías periapicales de progreso de tracción del caso 4, mostrando la remoción del diente supernumerario y la resolución de la impactación del premolar inferior izquierdo, el cual termina con discreta dilaceración radicular.

Figura 5: Radiografías panorámica inicial y dos radiografías panorámicas de progreso, donde se evidencia la impactación de los primeros molares superiores e inferiores, la inclinacion mesial del primer molar inferior izquierdo asociada a la pérdida prematura del segundo molar primario inferior izquierdo, produciendo impactación a su vez de los premolares inferiores izquierdos.

Figura 6: Radiografía panorámica inicial (A) y radiografía panorámica de progreso (B), luego de extracción de los molares primarios retenidos y molares primarios supernumerarios.

Discusión
La impactación dental no es un problema infrecuente en la población. Su manejo es importante desde el punto de vista estético y funcional para el paciente pediátrico. El tratamiento puede abarcar extracción del diente primario, exposición quirúrgica del diente impactado, con o sin tracción ortodóntica, autotrasplante o incluso su extracción quirúrgica. Cualquier decisión que se tome debe ser juzgada por medio de una evaluación individual.14 El premolar impactado y no erupcionado es motivo de muchas derivaciones dentales pediátricas y de ortodoncia, sin embargo, el enfoque para su manejo sigue siendo un área de controversia.15

Kaya et al. reportaron en su estudio de 105 premolares impactados que la prevalencia era mayor en el género femenino y en la mandíbula,16 así como se observó en esta serie de casos. (Tabla 1). Fardi et al. en su estudio de dientes impactados no encontraron diferencia significativa entre ambos lados,17 sin embargo, en esta serie de casos, todos estaban del lado izquierdo y en dos casos, estaban a ambos lados. Así como también todos los premolares impactados encontrados fueron inferiores al igual que el estudio antes mencionado. Solo hubo un caso, que presentó además de premolares impactados inferiores, premolares superiores impactados.
Bacetti encontró décadas atrás asociaciones significativas (p <0,005) entre cinco de las anomalías dentarias (agenesia de segundos premolares, incisivos laterales superiores microdónticos, infraoclusión de los molares primarios, hipoplasia del esmalte y desplazamiento palatino de los caninos maxilares), lo que sugiere un origen genético común para estas condiciones.18 En la presente investigación un 50% tuvieron incisivos laterales microdónticos asociados a impactación de premolares. Al observarse anomalías dentarias juntas, se respalda la evidencia acumulada del control genético compartido de las alteraciones del desarrollo dental.19

Garib et al. en un estudio hecho en el 2010 encontraron que la frecuencia de agenesia del segundo premolar maxilar y mandibular, microdoncia de los incisivos laterales superiores y la distoangulación de los segundos premolares mandibulares, aumentaron significativamente en la muestra estudiada al ser comparados con la población general.20 En la presente serie de casos se encontró un caso con agenesia y también se observó distoangulación de los premolares impactados en el 50% de los casos.

Tabla 1. Hallazgos clínicos y radiográficos de serie de casos de premolares impactados.

Los resultados de Bacetti et al. parecen demostrar una relación significativa entre el desplazamiento distal de los segundos premolares inferiores no erupcionados y los caninos desplazados hacia palatino. En la ausencia de perturbaciones mecánicas locales que afectan directamente la posición de un segundo premolar mandibular no erupcionado, los mismos defectos genéticos que están asociados con el desplazamiento de un canino permanente maxilar podrían ser responsables del aumento de la inclinación hacia distal observada en el brote dentario del segundo premolar mandibular. Los gérmenes de los premolares mandibulares desplazados distalmente pueden ser un indicador de riesgo de desarrollo para desplazamiento de canino hacia palatino.21

El mismo defecto genético puede dar lugar a diferentes fenotipos, incluidos: agenesia, microdoncia, dientes ectópicos y retraso del desarrollo dentario. Las implicaciones clínicas de las anomalías dentales asociadas son relevantes, ya que la detección temprana de una sola anomalía dental puede requerir la atención de los profesionales ante el posible desarrollo de otras anomalías asociadas en el mismo paciente o en la familia, permitiendo una intervención ortodóncica oportuna.22

También Grahnen realizó un estudio en niños con agenesia dental y encontró que hasta la mitad de sus hermanos y padres compartían como hallazgos la agenesia dental, una alta prevalencia en comparación con la tasa poblacional esperada.23 Recientemente, Vastardis, et al. al analizar una gran familia con agenesia de todos los segundos premolares y terceros molares, identificaron una mutación en el gen MSX1.24 Todo lo anteriormente expuesto, resalta la importancia que tiene el odontopediatra al ser el que generalmente diagnostica las anomalías dentarias y canaliza su intervención. Es preciso estar atento, ya que generalmente cuando hay la presencia de alguna alteración dentaria, se van a detectar otras más.

Igualmente ocurre con la presencia de supernumerarios, que han sido relacionados con dientes impactados. He et al. señalan que la presencia y morfología de los dientes supernumerarios deben alertar al clínico sobre la mayor probabilidad de tener incisivos impactados y la necesidad de un diagnóstico temprano y un tratamiento adecuado.25 En esta serie de casos, dos pacientes tenían supernumerarios además de los premolares impactados (Tabla 1). Los varones se han visto más afectados con dientes supernumerarios que las hembras, con una proporción de sexos de 2.2:1.26 Sin embargo, en la presente serie de casos, ambos portadores de supernumerarios fueron de género femenino.

Aktan et al. encontraron en su estudio que los dientes primarios retenidos se observaron con mayor frecuencia en la mandíbula, al igual que ocurrió en esta serie de casos. La razón más frecuente de la persistencia fue la ausencia congénita de sucesores de los dientes primarios, seguida de la impactación de los dientes sucesores.27 Esta segunda causa es la relacionada en (4) de los seis (6) casos reportados. Se ha sugerido también que la erupción retardada, así como la microdoncia, constituyen una expresividad parcial del mismo gen que conduce a la agenesia dental.28

La distinción diagnóstica entre anquilosis aislada, retención secundaria y falla primaria de erupción es importante en el contexto para saber si los dientes distales a los primeros molares que no erupcionan con mayor frecuencia son normales o anormales. Si se determina que la falla primaria de erupción es la responsable, relacionada por herencia familiar o identificación positiva de una mutación en el receptor 1 de la hormona paratiroidea (PTH1R), entonces los dientes afectados serían anormales y no responderían al tratamiento de ortodoncia. Al contrario, si se determina que la anquilosis es la causa, los dientes restantes responderán al tratamiento de ortodoncia después de la extracción del diente anquilosado.29

Una premisa para distinguir la etiología es que cuando la anquilosis no se puede vincular a una causa física o mecánica y se descubre una etiología genética, entonces la falla primaria de erupción es el diagnóstico más probable. Este paso crítico en el diagnóstico permite al clínico seguir dos cursos de tratamientos diferentes, que incluyen evitar la ortodoncia y si un primer molar no erupciona y el destino del segundo molar aún es incierto, hacer la extracción temprana del primer molar para permitir que el segundo molar se desplace mesialmente. De esta manera, con los avances de la comprensión del control celular y genético del proceso de erupción, pronto podría ser importante que se reconsidere el manejo clínico de los trastornos de erupción, para cambiar a un concepto que sea más de base biológica y genética.29

La pérdida prematura de molares primarios predispone a maloclusiones incluyendo apiñamiento, impactación de dientes permanentes y alteración de la relación molar y canina,30 por lo que se recomienda el uso de mantenedores de espacio para evitar la pérdida de espacio y cambios en el arco dental.31 En el presente estudio, el caso 5 es una muestra de lo que la alteración de erupción por falta de intervención oportuna puede ocasionar sobre el arco dental, por perder un molar primario y no colocar mantenedor de espacio (Figura 5).

Las opciones de tratamiento para los dientes impactados incluyen observación, intervención, reubicación y extracción.32,33

La evaluación de todos los hallazgos clínicos y radiográficos es fundamental a la hora de
decidir un plan de tratamiento adecuado. Es necesario establecer la presencia y la forma del premolar en erupción junto con su posición y orientación. El molar primario puede dar pistas vitales sobre si la erupción está activa o inactiva. La reabsorción radicular en curso y el aumento de la movilidad del molar primario junto con el agrandamiento del folículo del premolar permanente subyacente son indicativos de erupción activa. La disponibilidad de espacio para el premolar y la estabilidad de este espacio también necesitan una consideración cuidadosa. Todos estos factores deben considerarse en contexto con el resto de la dentición y cualquier otra maloclusión. Una vez que se establece que los dientes tienen un buen pronóstico pero que la erupción por cualquier motivo se retrasa, es necesario tomar una decisión con respecto a la probabilidad de que el diente erupcione en el arco. Se considera que la insuficiencia de espacio es el factor más común que interfiere con la erupción normal de los dientes, generalmente debido a la extracción temprana de los predecesores primarios.15 Es de destacar que la falta de espacio nunca es un problema cuando se retienen los segundos molares primarios porque el segundo premolar tiene un ancho de corona mesio-distal más pequeño que su predecesor.32

Las radiografías en serie no solo permiten al clínico controlar la erupción del diente, sino que también ayudan a la detección temprana de cualquier factor de complicación.32

Generalmente se trata de seguir a un niño o adolescente durante un tiempo determinado, que se puede dividir en periodos de preimpactación y postimpactación. La intervención puede implicar la extracción simple de un diente o dientes, generalmente primarios.34

Entre las opciones de tratamiento de los premolares impactados se puede preferir la reubicación, se refiere al reposicionamiento quirúrgico del diente impactado o, más comúnmente, a la erupción ortodóncica del diente impactado.

Ocasionalmente, se puede justificar la extracción de un diente permanente según la etiología de la impactación y el diente específico impactado. La intervención puede incluir un breve período de tratamiento de ortodoncia para eliminar la impactación.34

Kokich describe el manejo quirúrgico y ortodóncico de los dientes impactados e identifica la posición y angulación del diente impactado, la duración del tratamiento, el espacio disponible y la presencia de encía queratinizada como factores críticos que afectarán el pronóstico y el resultado del tratamiento.33

A pesar de ser pocos los casos reportados en esta investigación, estudios de este tipo son necesarios ya que cada grupo poblacional es distinto y pueden generarse diferencias, de acuerdo con la ubicación geográfica, genes involucrados, así como diferentes intervenciones terapéuticas.

Reconocer la impactación temprana de un diente que no ha erupcionado es muy importante para el odontopediatra y para el ortodoncista, a fin de explicar a los padres posibles causas asociadas y conocer el plan de tratamiento más apropiado que debe diseñarse, con el objetivo de evitar posibles complicaciones.

Conclusiones

La impactación de premolares inferiores aun cuando es un problema de baja prevalencia y una anomalía poco descrita en relación con otras impactaciones dentarias debe ser diagnosticada y tratada, para evitar secuelas estéticas y funcionales. Pueden presentar en conjunto con otras alteraciones de la erupción aisladas en un individuo o en el grupo familiar siguiendo patrón genético. Guardan relación tanto con impactaciones palatinas de caninos superiores, como con alteraciones en forma y/o número de incisivos laterales superiores.

A través de esta serie de casos, se sugiere que las causas asociadas a la impactación de primeros premolares fueron: retención prolongada de dientes primarios, patrón eruptivo alterado, presencia de supernumerarios, pérdida prematura de dientes primarios y erupción retardada asociada a factor hormonal. Se concluye que la presencia de impactación de premolares apunta a la asociación de varias causas que confluyen observándose no solo una sino varias anomalías dentarias.

Referencias bibliográficas

  1. Bhaskar SN. Tooth eruption. Orban’s Histology and Embriology. 11th Edition. St Louis: CV Mosby; 1990.
  2. Full CA. Conception to age three. The dynamics of change. Dental changes. Infancy Through Adolescence, 3rd Edition. Philadelphia: WB Saunders, 1999.
  3. Rasmussen P, Kotsaki A. Inherited primary failure of eruption in the primary dentitions report. ASDC J Dent Child 1997;64(1):43-47.
  4. Alling CC, Catone GA. Management of impacted teeth. J Oral Maxillofac Surg. 1993;51 (1Suppl 1):3-6.
  5. Burch J, Ngan P, Hackmar A. Diagnosis and treatment planning for unerupted premolars. Pediatr Dent. 1994; 16(2):89-95.
  6. McDonald RE, Avery DR. Eruption of the teeth: local, systemic and congenital factors that influence the process. In: Dentistry for the child and adolescent. 6th edition. St Louis: Mosby; 1994. 
  7. Andreasen JO. The impacted premolar. In: Andreasen JO, Petersen JK, Laskin DM, editors. Textbook and color atlas of tooth impactions; diagnosis, treatment and prevention. Copenhagen: Munksgaard; 1997. 
  8. Oikarinen VJ, Julku M. Impacted premolars. An analysis of 10,000 orthopan- tomograms. Proc Finn Dent Soc. 1974; 70(3):95-8.
  9. Wasserstein A, Brezniak N, Shalish M, Heller M, Rakocz M. Angular changes and their rates in concurrence to developmental stages of the mandibular second premolar. Angle Orthod. 2004;74(3):332-6.
  10. Liu RR, Tian J. Current situation of clinical research on impacted premolars. Hua Xi Kou Qiang Yi Xue Za Zhi. 2018;36(2):215-9.
  11. Topkara A, Sari Z. Impacted teeth in a turkish orthodontic patient population: prevalence, distribution and relationship with dental arch characteristics. Eur J Paediatr Dent. 2012;13(4):311-6.
  12. Castañeda DA, Briceño CR, Sánchez AE, Rodríguez A, Castro D, Barrientos S. Prevalencia de dientes incluidos, retenidos e impactados analizados en radiografías panorámicas de población de Bogotá, Colombia. Univ Odontol. 2015; 34(73):149-57. 
  13. Ericson S, Kurol J. Radiographic assessment of maxillary canine eruption in children with clinical signs of eruption disturbances. Eur J Orthod. 1986;8 (3):133-40.
  14. Lee PP. Impacted premolars. Dent Update. 2005;32(3):152-7.
  15. Murray P, Brown NL. The conservative approach to managing unerupted lower premolars -- two case reports. Int J Paediatr Dent. 2003;13(3):198-203
  16. Kaya GS, Omezli MM, Yapici G, Dayi E, Ertas U. Prevalecia de premolares impactados en una población turca y consideraciones para el tratamiento quirúrgico. Med Oral, Patolog Oral y Cirug Bucal. Ed Española. 2012;17(1):49-53.
  17. Fardi A, Kondylidou-Sidira A, Bachour Z, Parisis N, Tsirlis A. Incidence of impacted and supernumerary teeth-a radiographic study in a North Greek population. Med Oral Patol Oral Cir Bucal. 2011;16 (1):e56- 61. 
  18. Baccetti T. A controlled study of associated dental anomalies. Angle Orthod. 1998;68(3):267-74.
  19. Garib DG, Zanella NL, Peck S. Associated dental anomalies: Case report. J Appl Oral Sci. 2005;13(4):431-6
  20. Garib DG, Alencar BM, Lauris JR, Baccetti T. Agenesis of maxillary lateral incisors and associated dental anomalies. Am J Orthod Dentofacial Orthop. 2010;137(6):732.e1-733.
  21. Baccetti T, Leonardi M, Giuntini V. Distally displaced premolars: A dental anomaly associated with palatally displaced canines. Am J Orthod Dentofacial Orthop. 2010;138(3):318-322.
  22. Garib D, Alencar B, Ferreira F, Okada Ozawa T. Associated dental anomalies: The orthodontist decoding the genetics which regulates the dental development disturbances. Dental Press J Orthod. 2010:15 (2):138-57.
  23. Grahnen H. Hypodontia in the permanent dentition. Odontol Revy 1956;7:1100.
  24. Vastardis H. The genetics of human tooth agenesis: new discoveries for understanding dental anomalies. Am J Orthod Dentofacial Orthop. 2000;117(6):650-6.
  25. He D, Mei L, Wang Y, Li J, Li H. Association between maxillary anterior supernumerary teeth and impacted incisors in mixed dentition. J Am Dent Assoc. 2017;148(8):595-603.
  26. Rajab LD, Hamdan MA. Supernumerary teeth: review of the literature and a survey of 152 cases. Int J Paediatr Dent. 2002;12(4):244-54. 
  27. Aktan AM, Kara I, Sener I, et al. An evaluation of factors associated with persistent primary teeth. Eur J Orthod. 2012;34(2):208-12.
  28. Mossey PA. The heritability of malocclusion: part 2. The influence of genetics in malocclusion. Br J Orthod. 1999;26(3):195-203.
  29. Frazier-Bowers SA, Puranik CP, Mahaney MC. The etiology of eruption disorders - further evidence of a ‘genetic paradigm’. Semin Orthod. 2010;16(3):180-5.
  30. García Y, Da Silva CL, Medina C, Crespo O. Efecto de la pérdida prematura de molares primarios sobre la relación horizontal incisiva. Revista de Odontopediatría Latinoamericana. 2011;1(1).
  31. Padma Kumari B, Retnakumari N. Loss of space and changes in the dental arch after premature loss of the lower primary molar: A longitudinal study. J Indian Soc Pedod Prev Dent. 2006; 24(2):90-6.
  32. Frank CA. Treatment options for impacted teeth. J Am Dent Assoc 2000; 131(5):623-32.
  33. Kokich VG, Mathews DP. Surgical and orthodontic management of impacted teeth. Dent Clin North Am 1993; 37(2):181-204.
  34. McNamara C, McNamara TG. Mandibular premolar impaction: 2 case reports. J Can Dent Assoc. 2005;71(11):859-63.