DOI:https://doi.org/10.47990/alop.v11i2.258

Artículo Original

Evaluación orofacial de los niños Síndrome Prader-Willi

Alexandre Frascino1, Ruth Rocha Franco2, Simone Sakura Ito2, Caroline Buff Gouveia Passone2, Louise Cominato2 Fabrício Pedroso3, Fernanda Genovez3, Fernanda Machado3, Micaele Araújo3, Milena Carneiro3, Patrícia Pedroso Novelli3, Samara Maciel3, Durval Damiani4

1DDS, PhD, Cirujano Oral y Maxilofacial, Instituto da Criança, Hospital das Clínicas, Escuela de Medicina, Universidade de São Paulo, São Paulo, Brasil.
2MD, MS, Endocrinólogo, Instituto da Criança, Hospital das Clínicas, Facultad de Medicina, Universidade de São Paulo, São Paulo, Brasil.
3Pregrado, Facultad de Odontología, Universidade São Judas Tadeu, São Paulo, Brasil.
4Jefe del Servicio Endocrinopedítico, Instituto da Criança, Hospital das Clínicas, Facultad de Medicina, Universidade de São Paulo, São Paulo, Brasil.

Resumen

Objetivo: Evaluar el estado de salud bucal y el crecimiento craneofacial de pacientes con síndrome de Prader-Willi (SPW), en comparación con niños obesos que no padecen SPW. Métodos y resultados: Se seleccionaron 40 niños con SPW y 40 controles obesos de 10,9 años de edad (control: 11,89 años) y un IMC de 22,72 kg/m2 (control de 36,43 kg/ m2). La evaluación de la salud oral incluyó el número de dientes, tipo de dentición, presencia de caries, sangrado gingival, maloclusión, acumulación de placa, erosión dental, hiperplasia gingival e hipoplasia del esmalte. Los cuestionarios evaluaron los hábitos de higiene oral. Las radiografías panorámicas evaluaron el crecimiento craneofacial. El grupo de casos tenía un 6,8% menos de dientes en comparación con el grupo de control. Se observó una diferencia estadísticamente significativa en el sangrado gingival, la erosión dental y la hipoplasia del esmalte (p = 0,009; p = 0,02 y p = 0,006, respectivamente). Aunque no hubo diferencias estadísticamente significativas, se observó un número aumentado de lesiones cariosas y apiñamiento dental en niños con SPW (p = 0,35 y p = 0,07). Ambos grupos mostraron mala higiene dental. Los niños con SPW mostraron un crecimiento de la rama mandibular aumentada en comparación con el control (p = 0,03). Conclusión: Los niños con SPW tenían mayor hemorragia gingival estática e hipoplasia del esmalte que los controles con obesidad no SPW. Los niños con SPW pueden presentar un crecimiento vertical craneofacial aumentado. Se necesitan más investigaciones para esta población.

Palabras clave: Síndrome de Prader-Willi, Cráneo/crecimiento y desarrollo, huesos faciales/crecimiento y desarrollo, salud bucal, necesidades especiales.

Artigo original

Avaliação orofacial de crianças com Síndrome de Prader-Willi

Resumo

Objetivo: Avaliar a saúde bucal e o crescimento craniofacial de pacientes pediátricos com SíndromedePrader-Willi(SPW),emcomparação a crianças obesas não-sindrômicas. Métodos e resultados: Foram selecionadas 40 crianças com SPW e 40 controles não obesos com SPW, com idade de 10,9 anos (controle: 11,89 anos) e IMC 22,72 kg / m2 (controle 36,43 kg / m2). Foram avaliados o número de dentes, tipo de dentição, presença de cárie, sangramento gengival, má oclusão, acúmulo de placa bacteriana, erosão dentária, hiperplasia gengival e hipoplasia do esmalte. Os questionários avaliaram os hábitos de higiene bucal. Radiografias panorâmicas avaliaram o crescimento craniofacial. O grupo caso teve um número 6,8% menor de dentes em comparação ao grupo controle. Observouse diferença estatisticamente significante no sangramento gengival, erosão dentária e hipoplasia do esmalte (p = 0,009; p = 0,02 e p = 0,006, respectivamente). Não houve diferença estatisticamente significante, observou-se um número aumentado de lesões de cárie e apinhamento dentário em crianças com SPW (p = 0,35 e p = 0,07). Ambos os grupos apresentaram má higiene dental. As crianças com SPW apresentaram crescimento aumentado do ramo mandibular com diferença estatisticamente significante (p = 0,03). Conclusão: As crianças com SPW apresentaram sangramento gengival estatisticamente aumentado e hipoplasia do esmalte do que os controles não obesos com SPW. Crianças com SPW podem apresentar crescimento vertical craniofacial aumentado. Mais investigações são necessárias para essa população.

Palabra-chave: Síndrome de Prader-Willi, crânio / crescimento e desenvolvimento, ossos faciais / crescimento e desenvolvimento, saúde bucal, necessidades especiais.

Original article

Orofacial assessment of children with Prader-Willi Syndrome

Abstract

Aim: To assess the oral health status and craniofacial growth of patients with Prader-Willi Syndrome (PWS), compared to obese non-PWS children controls. Methods and Result: 40 PWS children and 40 non-PWS obese controls, aged 10.9 years (control: 11.89 years) and BMI 22.72 kg/m2 (control 36.43 kg/m2) were selected. The number of teeth, type of dentition, presence of caries, gingival bleeding, malocclusion, plaque accumulation, dental erosion, gingival hyperplasia, and enamel hypoplasia were assessed. Questionnaires assessed oral hygiene habits. Panoramic radiographs assessed craniofacial growth. The study group had a 6.8% lower number of teeth compared to the control group. A statistically significant difference was seen in gingival bleeding, dental erosion and enamel hypoplasia (p=0,009; p=0,02 and p=0,006; respectively). There were no statistically significant differences, it was observed an augmented number of carious lesions and Although a higher prevalence of carious lesions and dental crowding was observed in PWS children, the difference was not satisctically significant (p=0.35 and p=0.07 respectively). Both groups showed poor dental hygiene. PWS children showed augmented mandibular ramus growth with a statistically significant difference (p=0.03). Conclusion: PWS children had statically augmented gingival bleeding and enamel hypoplasia than non-PWS obese controls. PWS children may present increased craniofacial vertical growth. Further investigations are needed for this population.
Key words: Prader-Willi syndrome, skull/ growth and development, facial bones/ growth and development, oral health, special needs.

Introducción

El síndrome de Prader-Willi (SPW) es un trastorno genético raro que ocurre en 1 en cada 15.000 individuos en resultado de errores genómicos nel cromosoma 15. El resultado es un complejo trastorno multisistémico comúnmente asociado con las muertes por obesidad.1

Las características clínicas del SPW incluyen hipotonía infantil severa, hiperfagia, obesidad, retraso en el aprendizaje, problemas de comportamiento.2 Los trastornos hormonales son derivados de hipogonadismo y producción hormonal insuficiente que resulta en crecimiento deficiente. Problemas esqueléticos asociados con SPW incluyen dimorfismo craneofacial heterogéneo, y puede presentarse trastornos respiratorios, ronquidos, apnea nocturna, disfagia y disfonía.3

También se observan mayor prevalencia de malformaciones dentales y mayor incidencia de afecciones periodontales, xerostomía, y desgaste dentario pronunciado.4,5 En otras investigaciones se observó mayor prevalencia de caries, erosión del esmalte y maloclusión en comparación con la población sin SPW.6

El presente estudio tuvo como objetivo evaluar el estado de salud bucal y el crecimiento craneofacial en pacientes con SPW a través de la evaluación clínica y radiográfica, en comparación con los niños no obesos con SPW.

Materiales y métodos

Este estudio fue aprobado por el Comité de Ética en Investigación de Faculdade de Medicina del Universidade de São Paulo con el número de protocolo 3.210.476. Los responsables por todos los participantes consentirán por escrito con la participación de los voluntarios en el estudio.

Criterios de inclusión

Los pacientes fueron seleccionados entre abril y octubre de 2019, cuando cumplieron los siguientes criterios de inclusión:

i) diagnóstico clínico y genético de SPW;

ii) edades entre 0 a 18 años;

Los criterios de exclusión fueron:

i) diagnóstico de otros trastornos esqueléticos;

ii) tratamiento de ortodoncia completado o en progreso

iii)presencia de aparatos de ortodoncia;

iv)historia de traumatismos craneofaciales.

Para el grupo controle se seleccionaron niños obesos sin el síndrome de Prader- Willi, quienes presentaron índice de masa corporal (IMC) igual o superior al percentil 95 (Z-score ≥ 2).

Casuística

El diagnóstico genético de SPW siguió criterios de consenso de diagnóstico: (i) deleción (DEL) de una región de 5–6 Mb del cromosoma paterno 15; (ii) disomía un parental materna (UPD); y (iii) defecto de impresión (ID).

La información sobre la fecha de nacimiento, la edad en el diagnóstico de SPW, el sexo, la altura y el peso, y el historial médico se recuperaron de los registros médicos.

Evaluación de salud oral

Se evaluaron clínicamente los siguientes aspectos relacionados con la salud oral:

Los hábitos de higiene bucal se evaluaron mediante cuestionarios autoadministrados.

Cada paciente fue evaluado visualmente bajo iluminación direccional por separado, en dos ocasiones. En caso de discordancia de los dos observadores se realizó una tercera evaluación. Los evaluadores se habían calibrado previamente, obteniendo un índice de acuerdo > 80%.

Evaluación de crecimiento maxilomandibular

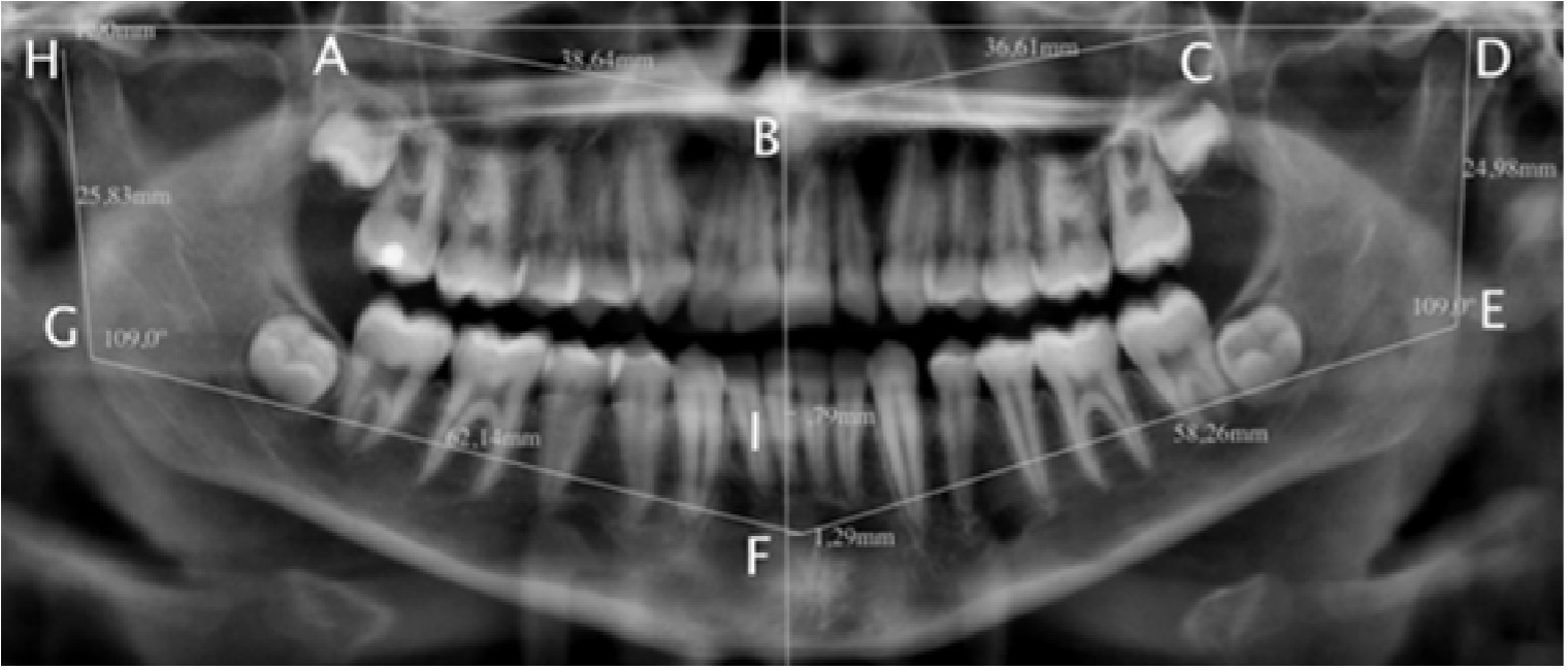
Se seleccionaron radiografías panorámicas para evaluar comparativamente el crecimiento craneofacial, empleando mediciones lineares angulares predeterminadas a puntos anatómicos topográficos maxilomandibulares como se muestra en la figura 1.7

Las radiografías panorámicas se obtuvieron usando el mismo dispositivo CD Orthophos (Siemens), con la misma configuración: 60-90 kVp, 9-12 mAs, y 12s de la exposición.

Todas las imágenes radiográficas se descargaron con 256 niveles de gris, 3188 × 1709 píxeles, y resolución de 300 dpi en formato digital (JPEG) compatibles con J de la imagen (1.50c4 para Mac OS Sierra 10.12.6).

Análisis estadístico

El cálculo de la muestra tuvo en cuenta la prevalencia de los cambios dento-faciales observados en pacientes pediátricos con SPW, según la literatura.8-10

Las comparaciones estadísticas del estado de salud oral se realizaron mediante la prueba de chi-cuadrado. Las comparaciones estadísticas de crecimiento craneofacial radiográfico se realizaron a través de la prueba t de Student.

Figura 1: Evaluación cefalométrica maxilomandibular. A. Relación maxilomandibular, B. Aspecto posterior del maxilar derecho, C. Espina nasal anterior, D. Aspecto posterior del maxilar izquierdo, E. Cabeza de la mandíbula izquierda, F. Ángulo mandibular izquierdo, G. Fosa mental, H. Ángulo mandibular derecho, I. Cabeza de la mandíbula derecha, vértice de la cresta alveolar inferior.

Ambas pruebas se realizaron con Excel para Mac (versión de Microsoft 15.37) y se asumió un cinco por ciento de probabilidad de error primario y un 80% de potencia estadística. Se adoptó un intervalo de confianza igual o superior al 85%.

Resultados

Casuística

Cuarenta PWS niños (18 sexo masculino) y cuarenta niños obesos no-PWS (19 sexo masculino) cumplieron los criterios de inclusión / exclusión. La edad media de SPW fue de 10,9 años (DE: ± 6,57) y la edad media de los niños no obesos fue de 11,89 años (DE: ± 3,67).

El índice de masa corporal (IMC) promedio en pacientes con SPW fue de 22,72 kg/m2 (DE: ± 11,1; DE <11 años: ± 4,79; DE > 11 años: ± 10,11), y el IMC del grupo de control fue de 36,43 kg/m2 (DE: ± 6,89; DE <11 años: ± 6,50; DE > 11 años: ± 6,83). La distribución de DEL diagnóstico genético PWS comprendido: 63,64%, UPD: 27,27%, e ID: 9,09. La Tabla 1 muestra las características del grupo de casos.

Evaluación de la salud oral

Se observó reducción en el número presentes al comparar el grupo de estudio con el grupo control con significancia estadística (p = 0,001). El grupo estudio presentó dentición primaria en el 62,5% en comparación, solamente 38% del grupo control 38% presentó dentición primaria.

Una diferencia estadísticamente significativa se observó en el sangrado gingival, la erosión dental, e hipoplasia del esmalte (p = 0,009; p = 0,02 y p = 0,006, respectivamente). El número de lesiones cariosas, mala higiene y apiñamiento dentales aumentó en niños con SPW, aunque no se observaron diferencias estadísticas (p = 0,35; p = 0,09; p = 0,10 y p= 0,07). Los detalles se presentan en la tabla 2.

Tabla 1: Grupo demográfico de casos y controles.

PWS Controles
n 40 40
  <11 y (n) 23 16
  >11 y (n) 17 24
Edad (y) [DE] 10,9 y [±6,57] 11,89 [±3,67]
  <11y [DE] 6,52 [±2,88] 7,53 [±3,31]
  >11y [DE] 16,81 [±5,45] 13,78 [±1,63]
Sexo (m; f) 18; 22 19; 21
  <11y 7; 16 6; 10
  >11y 11; 6 13; 11
Índice de masa 
>corporal (kg /m2) [DE]
22,72 [11,1] 36,43
  <11y 4,79 6,50
  >11y 10,11 6,83
Diagnóstico genético (%) DEL 63,64% No aplicable
UPD 27,27%
ID 9,09%

Tabla 2: Evaluación de la salud bucal

Aspecto evaluado Caso Control Valores de Confiabilidad
Número de dientes 23,72 27,03 0,94
Dentición primaria 11 2 0,87
Dentición decidua 10 6 0,88
Dientes permanentes 19 25 0,88
Lesiones cariosas 1,58 1,12 0,96
Sangrado gingival 15 5 0,89
Hacinamiento dental 18 11 0,89
Placa dental 31 24 0,89
Hipoplasia de esmalte 5 0 0,89
Erosión del esmalte 11 2 0,89
Hiperplasia gingival 3 1 0,89
Maloclusión 24 16 0,89
Higiene bucal supervisada por los padres 12 11 0,89
Higiene bucal autónoma 19 22 0,89

No se observaron diferencias estadísticas en la cantidad o calidad de la higiene oral entre los grupos estudiados (p = 0,14). Tanto los niños con SPW como los adolescentes con obesidad no SPW tenían prácticas similares de higiene bucal, principalmente bajo supervisión de sus cuidadores.

Evaluación de crecimiento craneofacial

Los niños con SPW presentaron aumento de la extensión de la rama mandibular con una diferencia estadísticamente significativa en comparación con los controles (p = 0,03). Aunque se observaron diferencias no significativas en la otra evaluación cefalométrica, los niños con SPW mostraron una reducción en el crecimiento craneofacial horizontal. La Figura 2 muestra el crecimiento craneofacial en promedios comparativos.

Figura 2: Leyendas: evaluación del crecimiento craneofacial. Los niños con SPW mostraron un aumento vertical estadísticamente significativo en la rama mandibular. Se observaron diferencias no significativas en la reducción general del crecimiento craneofacial.

Discusión

Las enfermedades orales en pacientes especiales son bien reconocidas. Silva et al. (2017) indican una mayor prevalencia de enfermedades orales en pacientes especiales con trastorno del espectro autista.9 Sabemos que los pacientes con SPW presentan condiciones de mayor riesgo para el desarrollo de enfermedades orales y es relevante que existan enfoques multidisciplinarios para mejorar la calidad de vida.10

Guerreiro; Garcias (2009) mostró que los niños examinados tenían altas tasas de alteración gingival, experiencia de caries, principalmente en dentición primaria y maloclusión.11 Sin embargo, hasta esta publicación, no existe una evaluación comparativa del estado de salud bucal y el crecimiento craneofacial en niños con SPW y controles obesos. Por lo tanto, este estudio está justificado debido al alto riesgo de enfermedades orales en pacientes con SPW, basado en estudios previos que muestran una alta prevalencia de enfermedades orales en pacientes especiales.

Nuestra hipótesis implicaba una peor condición de salud bucal en comparación con otros países, lo que está estrechamente relacionado con el hecho de que estos pacientes no reciben atención dental como parte del equipo multidisciplinario de salud. Si observó nel grupo SPW una diferencia estadísticamente significativa en el sangrado gingival, la erosión dental, e hipoplasia del esmalte (p = 0,009; p = 0,02 y p = 0,006, respectivamente). La existencia de asociación positiva entre la erosión dental, el consumo de refrescos y reflujo gástrico entre los niños con cuidados especiales es conocida12 aumentando la importancia de la salud bucal en niños con SPW para mejorar la calidad de vida.

Los niños con SPW presentaron más lesiones cariosas y peor higiene bucal, en comparación con el grupo control, aunque no hay diferencia estadística. Skele et al. (2006) sugieren que las lesiones de caries a los 5 años predicen una mayor prevalencia de caries a los 10 años13 y, por lo tanto, se sugiere la necesidad de un seguimiento dental desde el diagnóstico del síndrome.

Los niños con SPW habían aumentado el crecimiento vertical de la rama mandibular estadísticamente significativo, en contraste con la disminución del crecimiento horizontal, tanto en el eje anteroposterior como lateral. In otros estudios, se observó un crecimiento craneofacial reducido en niños con SPW.14 Los niños con SPW pueden presentar control ventilatorio deficiente por la por combinación de características musculoesqueléticas y la obesidad.15 Se necesitan más investigaciones para estimar los efectos de las alteraciones maxilomandibulares in pacientes con SPW.

Ambos grupos mostraron malos hábitos de higiene oral, sin diferencias estadísticas significativas. Debido a la discapacidad visual-motora de los niños con SPW,16 es importante desarrollar protocolos efectivos de higiene dental para estos pacientes que objetiven mitigar las enfermedades de salud oral a largo plazo.

Los individuos del grupo de control también experimentan una condición de hiperfagia que simula los hábitos alimenticios de los pacientes con SPW. Los individuos del grupo de control tienen altas tasas de obesidad, siendo la principal causa asociada con hiperfagia y atracones. Estos hábitos alimenticios son similares a los observados en pacientes con SPW.17 En una revisión sistemática publicada en 2017, He et al.5 sugieren que la causa principal asociada con la obesidad en la infancia y la adolescencia es el alto consumo de calorías. Byrne et al. (2019) mostraron que la pérdida de peso es más efectiva cuando se reduce esta ingesta.6

Aunque todavía se discute la asociación entre la prevalencia de lesiones de caries y los atracones,7 buscamos encontrar grupos de estudio y control con hábitos alimenticios similares. Además, los cambios en el crecimiento craneofacial asociados con la obesidad infantil se describen en la literatura.18

La clínica ambulatoria de nuestro instituto es una referencia a pacientes de atención médica primaria y secundaria, lo que puede retrasar el diagnóstico de obesidad infantil de pacientes no sindrómicos. Estos pacientes son monitoreados de cerca por el equipo médico y múltiples proveedores de atención médica que fomentan programas estrictos nutricionales y actividades físicas adaptadas para cada edad. Los enfoques médicos multidisciplinarios están asociados con la mejora de la calidad de vida en niños con necesidades especiales.19,20

La esperanza de vida de los pacientes con SPW ha crecido en las últimas décadas en resultado al enfoque multidisciplinario para abordar y controlar la obesidad, las dificultades de aprendizaje, los déficits neuroendocrinos y los problemas conductuales y psiquiátricos.21,22 Se alienta a las investigaciones de casos y controles a largo plazo para proporcionar información adicional que aborde las necesidades orofaciales de los pacientes con SPW.

Conclusiones

Pacientes PWS mostraron peor salud oral y del crecimiento craneofacial en comparación no-PWS obesos. Se necesitan más investigaciones para esta población.

Referencias bibliográficas

  1. Griggs JL, Sinnayah P, Mathai ML. Prader-Willi syndrome: From genetics to behaviour, with special focus on appetite treatments. Neurosci Biobehav Rev. 2015;59:155-172.
  2. Gunay-Aygun M, Schwartz S, Heeger S, O’Riordan MA, Cassidy SB. The changing purpose of PraderWilli syndrome clinical diagnostic criteria and proposed revised criteria. Pediatrics. 2001;108(5):E92.
  3. Giuca MR, Inglese R, Caruso S, Gatto R, Marzo G, Pasini M. Craniofacial morphology in pediatric patients with Prader-Willi syndrome: a retrospective study. Orthod Craniofac Res. 2016;19(4):216-221.
  4. Olczak-Kowalczyk D, Korporowicz E, Gozdowski D, Lecka-Ambroziak A, Szalecki M. Oral findings in children and adolescents with Prader-Willi syndrome. Clin Oral Investig. 2019;23(3):1331-1339.
  5. Bantim YCV, Kussaba ST, de Carvalho GP, Garcia-Junior IR, Roman-Torres CVG. Oral health in patients with Prader-Willi syndrome: current perspectives. Clin Cosmet Investig Dent. 2019;11:163-170.
  6. Saeves R, Espelid I, Storhaug K, Sandvik L, Nordgarden H. Severe tooth wear in Prader-Willi syndrome. A case-control study. BMC Oral Health. 2012;12:12.
  7. Lemos AD, Katz CR, Heimer MV, Rosenblatt A. Mandibular asymmetry: a proposal of radiographic analysis with public domain software. Dental Press J Orthod. 2014;19(3):52-58.
  8. Holm VA, Cassidy SB, Butler MG, Hanchett JM, Greenswag LR, Whitman BY, et al. Prader-Willi syndrome: consensus diagnostic criteria. Pediatrics. 1993;91(2):398-402.
  9. da Silva SN, Gimenez T, Souza RC, Mello-Moura ACV, Raggio DP, Morimoto S, et al. Oral health status of children and young adults with autism spectrum disorders: systematic review and meta-analysis. Int J Paediatr Dent. 2017 Sep;27(5):388-398. doi: 10.1111/ipd.12274. Epub 2016 Oct 31. PMID: 27796062.
  10. Duis J, van Wattum PJ, Scheimann A, Salehi P, Brokamp E, Fairbrother L, et al.  A multidisciplinary approach to the clinical management of Prader-Willi syndrome. Mol Genet Genomic Med. 2019 Mar;7(3):e514. doi: 10.1002/mgg3.514.
  11. Guerreiro PO, Garcias Gde L. Diagnóstico das condições de saúde bucal em portadores de paralisia cerebral do município de Pelotas, Rio Grande do Sul, Brasil [Oral health conditions diagnostic in cerebral palsy individuals of Pelotas, Rio Grande do Sul State, Brazil]. Cien Saude Colet. 2009 Sep-Oct;14(5):1939-46. Portuguese. doi: 10.1590/s1413-81232009000500036.
  12. Basha S, Enan ET, Mohamed RN, Ashour AA, Alzahrani FS, Almutairi NE. Association between soft drink consumption, gastric reflux, dental erosion, and obesity among special care children. Spec Care Dentist. 2020;40(1):97-105.
  13. Skeie MS, Raadal M, Strand GV, Espelid I. The relationship between caries in the primary dentition at 5 years of age and permanent dentition at 10 years of age - a longitudinal study. Int J Paediatr Dent. 2006;16(3):152-160.
  14. Flores-Mir C, Korayem M, Heo G, Witmans M, Major MP, Major PW. Craniofacial morphological characteristics in children with obstructive sleep apnea syndrome: a systematic review and meta-analysis. J Am Dent Assoc. 2013;144(3):269-277.
  15. Gillett ES, Perez IA. Disorders of Sleep and Ventilatory Control in Prader-Willi Syndrome. Diseases. 2016;4(3).
  16. Lo ST, Collin PJ, Hokken-Koelega AC. Visual-motor integration in children with Prader-Willi syndrome. J Intellect Disabil Res. 2015;59(9):827-834.
  17. Clairman H, Dettmer E, Buchholz A, Cordeiro K, Ibrahim Q, Maximova K, et al. Pathways to eating in children and adolescents with obesity. Int J Obes (Lond). 2019 Jun;43(6):1193-1201. doi: 10.1038/s41366-018-0271-2. Epub 2018 Dec 19. Erratum in: Int J Obes (Lond). 2019 Mar;43(3):638
  18. Ohrn K, Al-Kahlili B, Huggare J, Forsberg CM, Marcus C, Dahllof G. Craniofacial morphology in obese adolescents. Acta Odontol Scand. 2002;60(4):193-197.
  19. Passone CBG, Pasqualucci PL, Franco RR, Ito SS, Mattar LBF, Koiffmann CP, et al. Prader-Willi syndrome: what is the general pediatrician supposed to do? - A review. Rev Paul Pediatr. 2018;36(3):345-352.
  20. Duis J, van Wattum PJ, Scheimann A, Salehi P, Brokamp E, Fairbrother L, et al. A multidisciplinary approach to the clinical management of Prader-Willi syndrome. Mol Genet Genomic Med. 2019;7(3):e514.
  21. Hedgeman E, Ulrichsen SP, Carter S, Kreher NC, Malobisky KP, Braun MM, et al. Long-term health outcomes in patients with Prader-Willi Syndrome: a nationwide cohort study in Denmark. Int J Obes (Lond). 2017;41(10):1531-1538.
  22. Lindgren AC, Barkeling B, Hagg A, Ritzen EM, Marcus C, Rossner S. Eating behavior in Prader-Willi syndrome, normal weight, and obese control groups. J Pediatr. 2000;137(1):50-55.